Odontoiatria e Ortodonzia
a Chieri
Check up dei denti e della bocca
Centro di eccellenza per la cura dei denti e gengive a Chieri
Se avete bisogno di eseguire un check up dei denti e delle gengive potete rivolgervi allo Studio Odontoiatrico del Dottor Lorenzo Ravera a Chieri. Proponiamo ai nostri pazienti una serie di trattamenti utili a salvaguardare e curare denti e gengive a Chieri. Prima di compiere qualsiasi intervento il Dottor Lorenzo Ravera valuta attentamente lo stato della cavità orale in modo da proporre una diagnosi finale la più corretta possibile.
Grazie alle conoscenze dello staff e ai dispositivi impiegati siamo in grado di riconoscere le patologie pregresse del paziente, capire il suo attuale stato di salute, prevedere la possibile comparsa di altre patologie valutando la funzionalità dei denti e la situazione estetica. Nel nostro Centro siamo in grado di compiere una completa indagine radiografica digitale (TAC) usando il dispositivo di ultima generazione Vatec Smart Green, grazie al quale siamo in grado di ridurre al minimo la dose di raggi assunta dal paziente.
Igiene e prevenzione dentale
Lo Studio Odontoiatrico Dr. Lorenzo Ravera a Chieri, 10 km da Torino, dà grande importanza alla prevenzione e all’igiene orale.
Presso lo studio è possibile effettuare visite complete di controllo ai denti e alle gengive, oltre che ricevere consigli personalizzati (come la scelta dello spazzolino,del filo interdentale e scovolino) per mantenere i denti e le gengive nel migliore dei modi.
Contattate lo Studio Odontoiatrico Dr. Lorenzo Ravera per una consulenza personalizzata e per fissare una visita di controllo ai denti e gengive.
Prevenire è meglio che curare!!

Implantologia e Chirurgia orale
Impianti dentali personalizzati e interventi di chirurgia orale a Chieri con sedazione cosciente
Situato a Chieri, 10 km da Torino, lo Studio Odontoiatrico Dr. Lorenzo Ravera è specializzato in implantologia e chirurgia orale.
L’impianto è una vite in titano che sostituisce una o più radici di denti mancanti. L’impianto viene inserito nelle ossa della mascella e della mandibola e permette di sostituire singoli denti, più denti mancanti (edentulia parziale) o tutta l’arcata dentale (edentulia totale).
Grazie all’impianto è possibile ripristinare in modo ottimale sia la funzionalità masticatoria che quella estetica, ridando al paziente sicurezza, comfort e benessere.
Cos’è l’implantologia a carico immediato?
Nello Studio Odontoiatrico del Dottor Lorenzo Ravera viene compiuta la totalità degli interventi di implantologia, rigenerazione ossea e chirurgia orale. E’ possibile eseguire qualsiasi intervento impiegando la tecnica della sedazione cosciente, grazie alla quale il paziente rimane completamente rilassato evitando ogni stress.
Lo staff del nostro studio opera nel completo rispetto delle normative vigenti in materia d’implantologia dentaria, rigenerazione ossea e chirurgia orale.


Di cosa si occupa la chirurgia orale?
La chirurgia orale si occupa di risolvere le seguenti situazioni più o meno complesse:
- estrazioni di denti del giudizio inclusi nell’osso o semi-inclusi
- chirurgia ricostruttiva dell’osso per poter inserire impianti dove c’è una perdita di osso
- chirurgia estrattiva: estrazione di radici o denti inclusi totalmente o parzialmente nell’osso e nella gengiva
- chirurgia estrattiva ortodontica: scopertura dei denti inclusi e successiva estrusione mediante apparecchio ortodontico
- chirurgia endodontica: apicectomia ovvero asportazione dell’apice della radice dentale interessata da un’infezione (granuloma)
- asportazione di cisti e granulomi
- chirurgia delle gengive
è sempre il Dottor Lorenzo Ravera che opera i pazienti, un professionista conosciuto e apprezzato per via della sua grande esperienza, nonché attenzione e meticolosità con cui effettua gli interventi. Il Dottor Ravera riesce a risolvere sia i problemi dell’edentulia dentale totale oppure parziale offrendo ai pazienti una vasta possibilità di interventi mirati in modo da ripristinare la corretta funzionalità masticatoria in completa sicurezza, massimo benessere e totale comfort.
Consigli post operatori dopo interventi di chirurgia orale ambulatoriale
- Mantenere il tampone di garza compresso fra le arcate per circa 20-30 minuti.
- Per limitare il gonfiore e il dolore, applicare subito dopo l’intervento in maniera intermittente e per alcune ore una borsa del ghiaccio avvolta in un panno sulla zona del viso interessata
- Evitare l’esercizio fisico intenso e mantenere la testa sollevata rispetto al corpo per le prime 24 ore (durante la prima notte sarebbe meglio dormire con 2 cuscini dietro la testa)
- Non fumare e non bere alcolici per le prime 3-4 giornate.
- È possibile la comparsa di lieve sanguinamento, dolore moderato, ecchimosi nei giorni seguenti l’intervento (che si manifesta con la comparsa di una macchia rosso-violacea vicino al sito d’intervento) e gonfiore e talvolta anche una riduzione nell’apertura della bocca; questi sintomi tendono ad aumentare fino alla 2°-3° giornata post-operatoria per poi diminuire gradatamente; se si verificassero ulteriori complicanze o nel caso in cui questi sintomi dovessero peggiorare contattare telefonicamente il medico.
- Evitare di sciacquare in modo eccessivo, meglio sputare la saliva nelle prime 10 ore.
- Dieta semi-liquida e molto tiepida per le prime 24 ore; fino alla rimozione dei punti è indicata una dieta morbida, masticando dal lato opposto all’area operata.
- Spazzolare i denti con uno spazzolino morbido solo dopo le prime 10 ore e non toccare la zona interessata dall’intervento
- Evitare di traumatizzare l’area operata deve essere detersa solo mediante l’uso del collutorio prescritto (clorexidina allo 0,2% ) per circa 2 minuti dopo essersi lavati i denti;
- Assumere i farmaci prescritti secondo le modalità previste.
Parodontologia
Si occupa della cura dei tessuti di sostegno del dente, gengiva e osso alveolare. Le patologie comprendono le
recessioni gengivali, le
tasche parodontali fino a perdite di osso severe che richiedono
procedure chirurgiche o non chirurgiche, utili ad interrompere la progressione della malattia e
ristabilire una corretta morfologia.
Ortodonzia e Odontoiatria pediatrica, Ortodonzia invisibile a Chieri
Ortodonzia Invisibile
L’apparecchio invisibile che allinea i tuoi denti, senza cambiare le tue abitudini!
Ottenere il sorriso che hai sempre sognato non è affatto difficile, se la terapia ha un impatto quasi nullo sulla tua vita quotidiana.
L’ortodonzia invisibile non utilizza i classici attacchi fissi e fili metallici, ma allinea i denti con una serie di mascherine (allineatori) trasparenti e rimovibili, create su misura in modo da essere perfettamente aderenti e confortevoli. Le mascherine sono praticamente invisibili, anche osservate a distanza ravvicinata. Ogni mascherina deve essere posizionata in bocca con costanza e regolarità per poi passare alla mascherina successiva.
Man mano che sostituisci le mascherine ogni due settimane, i denti si spostano gradualmente, settimana dopo settimana, fino a raggiungere la posizione finale prevista.
L’apparecchio invisibile che allinea i tuoi denti, senza cambiare le tue abitudini.
Le mascherine si possono togliere in qualsiasi momento per mangiare, per mantenere la corretta igiene orale o per appuntamenti importanti.
Lo Studio Odontoiatrico Dr. Lorenzo Ravera utilizza un software che crea un modello tridimensionale, potendo mostrare al paziente come sarà il sorriso a fine trattamento. Il software calcola anche la durata del trattamento.


Ortodonzia intercettiva per i bambini
L‘ortodonzia si occupa dello studio della posizione dei denti e del loro allineamento. Fare una visita da uno specialista del settore sin dalla tenera età è molto importante poichè si evita di incorrere in spiacevoli ripercussioni a livello dentale nel corso della vita. Rivolgersi ad uno Studio professionale competente è quindi essenziale.
Nello Studio Odontoiatrico Dottor Lorenzo Ravera troverete una serie di Specialisti che aiutano e sostengono i vostri bambini dal primo momento fino alla fine della terapia ortodontica.
L’IMPORTANZA DI CURARE I DENTI DA LATTE
I denti da latte sono destinati a cadere ed essere sostituiti dai denti permanenti. È molto importante prevenire e curare le loro carie per evitare precoci infezioni e dolori e per evitare problemi futuri di allineamento e malocclusione.
CONSIGLI PER SPAZZOLARE I DENTI AI BAMBINI
Spazzolarsi i denti almeno tre volte al giorno: dopo colazione, pranzo e cena.
I denti si spazzolano con un movimento delicato sempre dalle gengive verso i denti. Evitare i movimenti orizzontali
Utilizzare, perché hanno un gusto più gradevole, dentifrici per bambini con l’aggiunta di fluoro che rende lo smalto più forte.
CONSIGLI PER LA DIETA
Evitare l’uso eccessivo di dolci e caramelle e, soprattutto, spazzolarsi bene i denti dopo il loro consumo.
Pressolo Studio Odontoiatrico Dr. Lorenzo Ravera, trovi Medici Dentisti Specializzati nell’aiutare tutti i bambini ad allontanare la paura del dentista e ad affrontare la visita odontoiatrica come un gioco sempre nuovo.
Odontoiatria pediatrica
È importante effettuare una prima
visita intorno ai 5 anni
di età per valutare lo stato di salute generale della bocca, l’eventuale presenza di carie e malocclusioni.
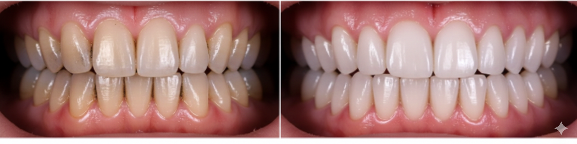
Estetica dentale
Faccette dentali e sbiancamento dentale a Chieri
Rivolgendoti allo Studio Odontoiatrico Dottor Lorenzo Ravera potrai usufruire di una vasta gamma di trattamenti estetici di alta qualità. Per esempio ci occupiamo di riabilitazioni estetiche con faccette dentali in ceramica o in altri materiali, realizzati nel nostro laboratorio grazie all’impiego di tecniche estremamente precise e alla presa dell'impronta mediante scanner digitali intraorali.
Siamo in grado di garantire al paziente la massima qualità del lavoro dando al
sorriso una nuova luce,
migliorando la forma dei denti ed
eliminando gli inestetismi. Tutti questi trattamenti vengono preparati mediante una precisa tecnica computerizzata grazie alla quale possiamo
esaltare i lineamenti del sorriso e l’estetica del volto.
Faccette dentali
Le Faccette dentali sono sottili lamine in ceramica eseguite in laboratorio mediante tecniche di estrema precisione, che consentono di ricoprire i denti, principalmente nel settore anteriore, che abbiano alterazioni di forma, di colore, di posizione o antiestetici diastemi. La superficie di questi elementi dentari viene solo leggermente irruvidita e, a volte, non è neanche necessario toccare il dente.
Le faccette sono estremamente estetiche e consentono di dare nuova luce al sorriso, di migliorarne la forma e di incrementare l’estetica del labbro a riposo e durante il sorriso.
Presso lo Studio Odontoiatrico Lorenzo Ravera le faccette in ceramica vengono studiate mediante tecnica computerizzata per donare un nuovo sorriso che risulti assolutamente naturale e che esalti i lineamenti del volto senza andare a lesionare i denti naturali.
Grazie all’elevatissima qualità che caratterizza i servizi dello Studio Odontoiatrico Dr. Lorenzo Ravera le faccette sono affidabili, estetiche e di lunga durata.

Nello Studio Odontoiatrico Dr. Lorenzo Ravera si utilizza la tecnica di sbiancamento più avanzata mediante sia una azione diretta sulla superficie dei denti con il gel che indiretta mediante sorgente luminosa ad elevata frequenza. Risultato elevato!!!
Questo tipo di trattamento è indolore e privo di rischi.
Al termine della procedura è possibile avvertire un temporaneo aumento della sensibilità dei denti, che scompare in modo naturale nel giro di poche ore.
È di grande aiuto, nella settimana successiva al trattamento, la limitazione dal fumo di sigaretta e dall’assunzione di sostanze coloranti contenute in bevande, caffè, vino rosso, tè nero, liquirizia, ecc. onde evitare di compromettere i risultati ottenuti.
L’astensione definitiva dalle suddette sostanze contribuisce significativamente all’ottimizzazione e al mantenimento dei risultati. Per prolungare l’effetto dello sbiancamento, è inoltre consigliabile eseguire una pulizia professionale dei denti ogni 6 mesi, osservare una corretta igiene dentale quotidiana che preveda uno spazzolamento accurato dei denti al termine di ogni pasto.

Sbiancamento dentale
Lo sbiancamento dentale è una procedura che permette di migliorare il colore dei denti, rendendoli più bianchi.
Per ottenere questo effetto si utilizzano prodotti che liberano ossigeno quando il gel viene posto a contatto con i denti.
Queste molecole di ossigeno vanno a disgregare i pigmenti responsabili della discromia, rendendoli non più visibili.
Lo sbiancamento dentale agisce solo sui denti naturali, pertanto non è efficace su parti protesiche, otturazioni o qualsiasi altro materiale da restauro presente nel cavo orale.
conservativa
Interventi di odontoiatria conservativa a Chieri
ENDODONZIA - CARIE - DISFUNZIONI ARTICOLAZIONE TEMPORO MANDIBOLARE - MALOCCLUSIONI
Endodonzia
Il nostro Studio Odontoiatrico ripone molta importanza alle tecniche conservative dei denti naturali.
L’odontoiatria conservativa si pone l’obiettivo di curare i denti colpiti da carie o traumi, utilizzando tecnologie avvanzate in grado di rimuovere la zona cariata del dente e ricostruire quella parte della dentina o dello smalto rimosso, con l’impiego di particolari materiali.
Nel caso in cui la carie di un dente sia più profonda e intacchi il nervo, la tecnica più efficace è l’endodonzia. Si tratta di un intervento comunemente noto come devitalizzazione che, oltre a eliminare il dolore, permette di rimuovere i batteri che hanno provocato l’infezione, causa del dolore.
Anche la frattura dei denti viene comunemente trattata con l’uso di metodologie e materiali che permettono la ricostruzione del dente senza dover ricorrere a metodi più invasivi, quali il ripristino del dente tramite protesi o ricorrendo all’implantologia.
Lo Studio Odontoiatrico del Dr. Lorenzo Ravera si occupa anche di risolvere casi di disfunzione delle articolazioni temporo-mandibolari con dolore alla masticazione e all'apertura della bocca, una patologia abbastanza frequente ma che spesso viene sottovalutata.
Evita, se possibile, gli impianti!!
Disfunzioni articolazioni Temporo Mandibolare
È una patologia frequente e spesso sottovalutata dal paziente.
Sintomi disfunzioni articolazione Temporo Mandibolare:
1) dolore in corrispondenza dell’articolazione e dei muscoli masticatori;
2) limitazioni nel movimento di apertura della mandibola;
3) dolore irradiato alla faccia, collo o spalle;
4) click dolorosi, rumori articolari di scroscio aprendo e chiudendo la bocca;
5) modificazione dell’occlusione dentaria.
6) spesso si associa il mal di testa.
Lo Studio Odontoiatrico Dr. Lorenzo Ravera effettua prima un check up che prevede: indagine radiologica digitale dell’articolazione, raccolta dei sintomi, dei disturbi, la presa di impronte personalizzate mediante scanner digitali intraotrali e l’utilizzo di articolatori sofisticati capaci di riprodurre i movimenti della bocca del paziente.





